オンライン遠隔診療による
通院回数を抑えたデジタルマウスピース矯正
成人77万円(税込) 小児55万円(税込)
歯並びを整えたいけれど、通院がネックで踏み出せない。
これまでの旭川への長距離移動は、大きな障壁でした。
当院の「デジタル矯正」と「AI遠隔モニタリング」は、
その物理的な制約を過去のものにします。
名寄の方も、遠方の方も、ライフスタイルを変えることなく、
質の高い治療を完結させることができます。
Doctor Expertise
遠隔デジタル矯正担当医
Orthodontic Doctor Profile
マウスピース矯正とデジタル治療設計を中心に、通院負担を抑えた矯正治療に取り組んでいます。
都内で多数の矯正症例に携わる知見をもとに、名寄でも専門性のある矯正治療をご提案できる体制を整えています。
Cases
0+
年間マウスピース
矯正症例数
Seminar
0+
年間セミナー
講師回数
Support
0
計画作成支援
医院数
Clinical & Educational Activities
Private Seminar
歯科医師向けマウスピース矯正セミナー
Lecture
デジタル矯正に関する講演活動
Planning
デジタル治療計画の設計・確認
Review
症例検討・経過確認・設計の見直し
※マウスピース矯正のみ
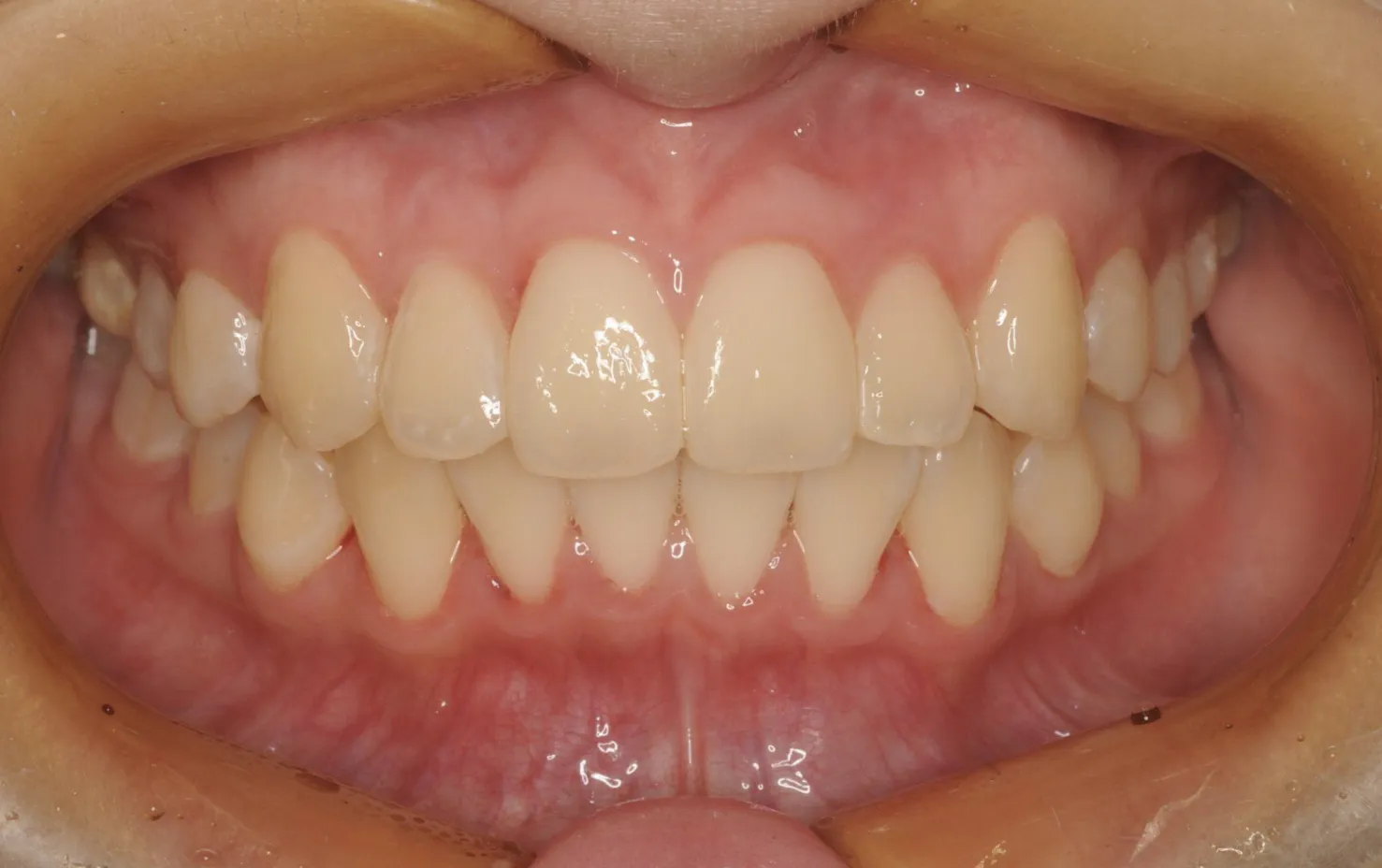
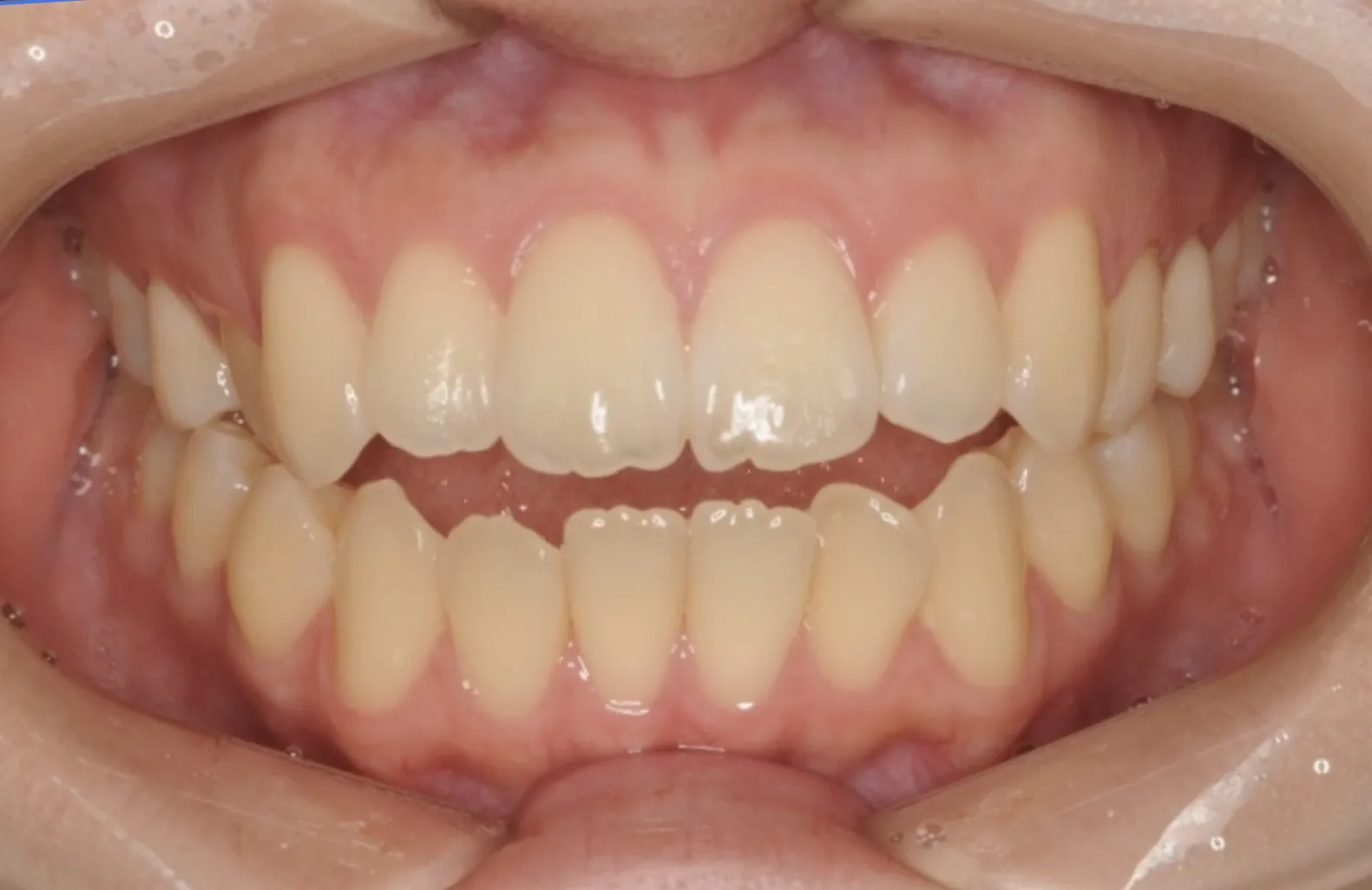
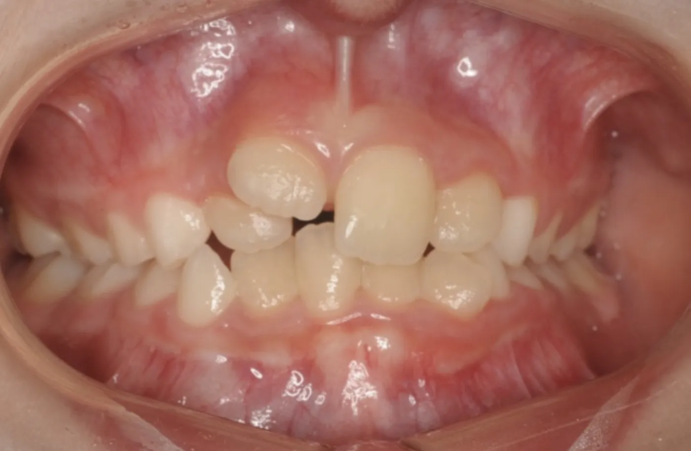
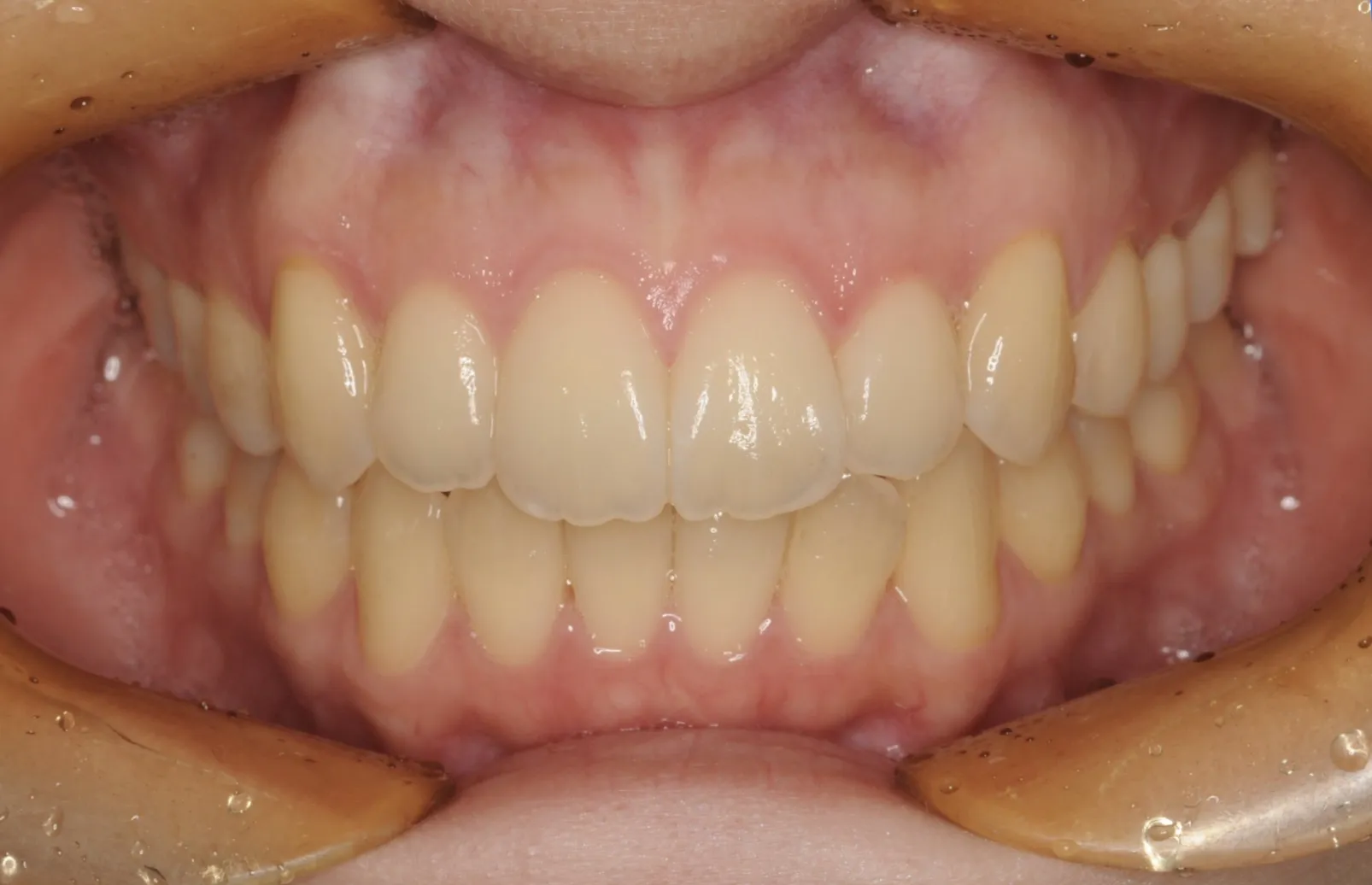
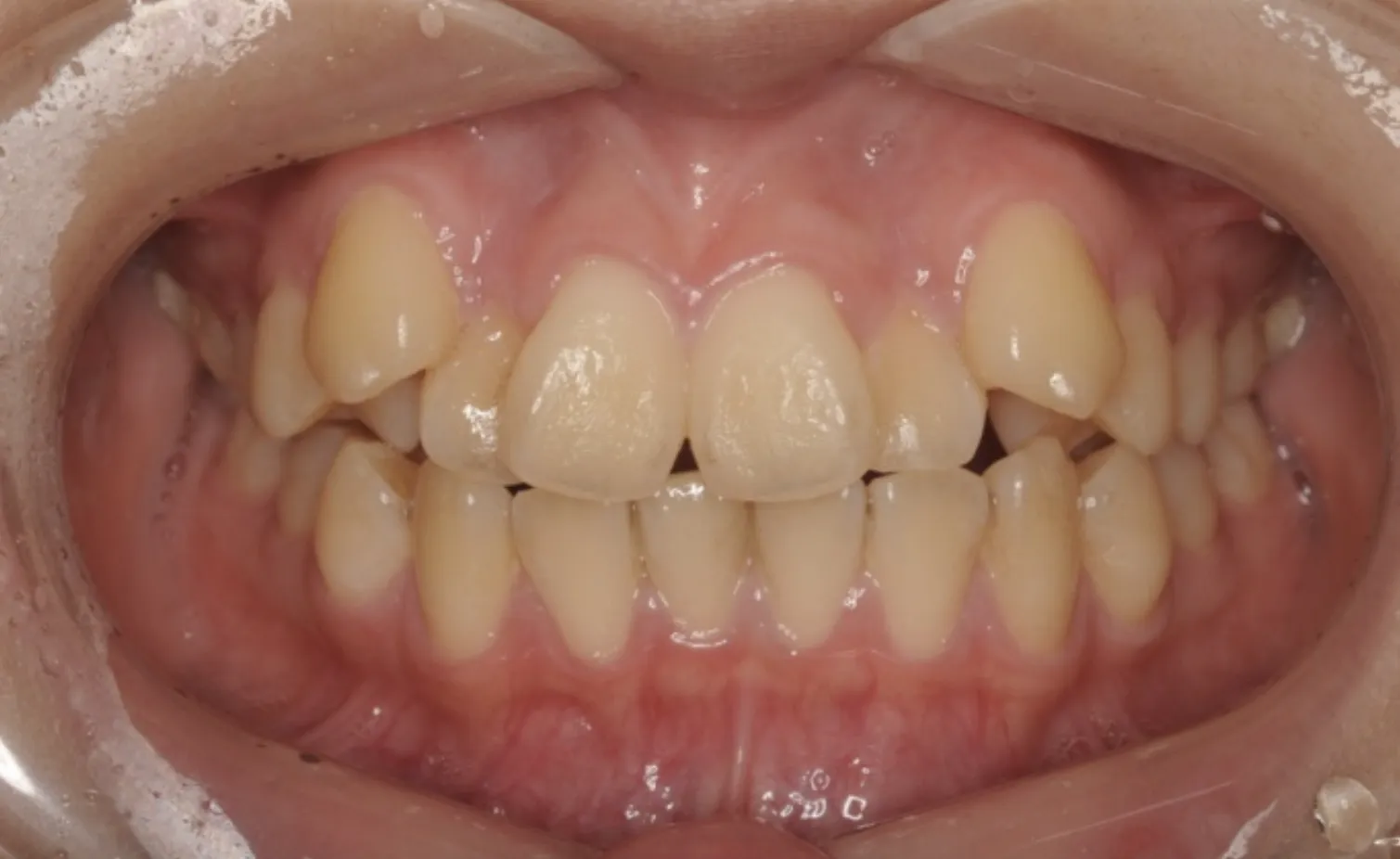
デジタルセットアップによる緻密な設計で、抜歯を最小限に抑えつつ理想的なアーチフォームを実現。
長年のコンプレックスだった「歯並び」も、スマートに解決します。
リスク・副作用:装着初期の違和感や痛み、歯の移動に伴う軽度の痛み、歯根吸収・歯肉退縮の可能性、虫歯・歯周病のリスク、後戻りの可能性があります。
※治療効果には個人差があります。
ライフスタイルに合わせた、通院負担の少ない最新の矯正治療
透明な特殊プラスチック製のマウスピースを使用する次世代の矯正治療です。装着していても周囲からほとんど気づかれず、食事やブラッシングの際にはご自身で簡単に取り外すことが可能です。
金属を一切使用しないためアレルギーの方でも安心で、従来のワイヤー矯正に伴う痛みや違和感も大幅に軽減されます。
治療前に「最終的な歯並び」を3Dシミュレーションで確認できる時代。デジタル技術を活用した緻密な計画に基づき、1日22時間の装着と週1回の交換で、0.1mm単位の精密な移動を実現します。
経験豊富な歯科医師がデジタル上でミリ単位のシミュレーション調整を重ね、理想的なアーチフォームを構築します。
通院は最小限に。
精度は最大限に。
最先端の「デンタルモニタリング」を導入。専用のスマートフォンアプリを使用し、週に1回ご自宅からご自身の歯列の写真を送信していただきます。
送信された画像はAIと専門医がダブルチェックし、次のステップに進めるかを毎週的確に判断。通院回数を最小限に抑えながら安全な治療を実現します。
場所を選ばない、
最先端の相談室。
矯正相談・治療計画の説明・定期的な診察などを、ZoomやGoogle Meetを使用した無料のオンライン診察で行うことが可能です。
都内第一線で培った最新の知見と技術を、名寄のご自宅から気軽に受けることができます。遠方の方でも、ライフスタイルにシームレスに組み込めます。
当院が提供する2つの確かな技術
都内年間200症例の
知見を、そのまま名寄に。
東京大手法人の副院長として年間200症例以上のデジタル矯正計画に携わる歯科医師が治療計画を作成。最先端の知見と技術を活かし、遠方の大学病院や専門機関へ通う負担をなくし、名寄で質の高い治療を提供します。
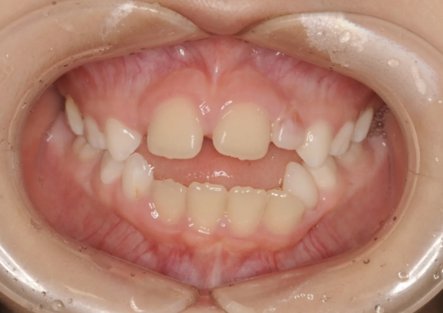
お子様の未来を創る、
専門医の確かな技術。
小児矯正はアゴの成長を利用できる重要な時期に行うことが鍵となります。全国にわずか1,200人しかいない日本小児歯科学会の専門医である院長が、成長段階を精密に見極め、お子様に最適な治療をご提案します。
Adult Plan
大人の歯の矯正
¥770,000 (税込)
Children Plan
子どもの歯の矯正
¥550,000 (税込)
Partial Plan
部分矯正
当院の矯正治療は医療費控除の対象となる場合があります。
1年間に支払った医療費が一定額を超える場合、確定申告により税金の一部が還付されます。詳しくは無料相談にてお尋ねください。
歯のお悩みやご希望をヒアリングし、治療概要をご説明します。
3Dスキャン、レントゲン、写真撮影などを行います。
シミュレーションを用いて治療計画をご説明します。
装置の受け渡しや装着を行い、治療が始まります。
数字をタップして詳細をチェック

マウスピースを受け取り、笑顔への旅が始まります。

歯が綺麗に並ぶための隙間を確保します。

上下の噛み合わせを整えるための重要プロセスです。

スマホ画像をAIと専門医がチェックし進行を確認します。

仕上がりを確認し、保定リテーナーへと移行します。

計画とズレがある場合は、追加のアライナーを作成します。
歯並びのお悩みを伺い、マウスピース矯正の適応、治療の流れ、通院頻度、費用の目安をご案内します。必要に応じて精密検査をご提案します。
ご希望があれば、当日そのまま無料検査に進むことも可能です(所要時間は合わせて1時間ほどです)。
多くの症例に対応できますが、歯並びや噛み合わせの状態によっては別の治療法をご提案する場合があります。まずはご相談時に口腔内の状態を確認し、精密検査をもとに診断を行ったうえで判断いたします。
治療内容によって異なりますが、デジタル矯正と遠隔モニタリングを活用することで、基本的には数か月に一回程度の通院で治療を進められるよう配慮しています。
オンライン相談・診察に対応しています。検査のためのスキャンや装置の受け取りなどの直接来院が必要な場合と矯正相談や計画説明などのオンラインで対応可能な場合があります。
透明な装置を使用するため、一般的に目立ちにくいです。ただし症例によってはワイヤーやエラスティックなどの補助装置を併用することがあります。
装置交換直後などに圧迫感や違和感が出ることがありますが、症状の程度には個人差があります。気になる症状がある場合はご相談ください。
当院は、毎回の調整料などが装置代に含まれる「トータルフィー(定額制)」を採用しており、原則として追加費用はかかりません。
追加費用が発生するのは、保証期間終了後の再治療や、保定装置(初回分無料)の紛失等による追加製作が必要なケースなどに限られます。
歯並びだけでなく、顎の成長や噛み合わせも関係するため、気になることがあればお早めにご相談ください。お子様の成長段階に応じて治療開始時期をご提案します。

Reception

Counseling

Digital Lab

Clinic Room

Reception

Counseling

Digital Lab

Clinic Room
「遠方まで通わなければ、本格的な矯正はできない。」
その常識は、デジタルテクノロジーによって過去のものとなりました。
距離の壁をなくし、明瞭な価格で、専門医の確かな技術を名寄で。
理想の歯並びを取り戻すための旅を、
ここから始めませんか。
ご相談のみでも問題ありません。
無理に治療をおすすめすることはありませんので、
まずはお気軽にご相談ください。
矯正対応日
| 月 | 火 | 水 | 木 | 金 | 土日祝 | |
|---|---|---|---|---|---|---|
| 9:00 - 13:30 | - | - | - | - | - | - |
| 15:00 - 19:00 | - | - | - | - | ||
| 19:30 - 20:30 | ![]() |
![]() |
- | ![]() |
![]() |
- |
:オンライン対応のみ
注意事項
マウスピース矯正は公的医療保険が適用されない自由診療です。
治療内容、使用する装置、通院頻度、治療期間、費用は症例により異なります。標準的な治療期間の目安は12か月〜36か月、通院回数の目安は数か月に1回です。費用は22万円〜77万円(税込)です。治療にあたっては、必要に応じて精密検査、口腔内スキャン、治療計画の作成、アタッチメントの付与、歯と歯の間を調整する処置(IPR)、マウスピース型装置の作製・調整、保定装置の使用等を行います。
当院では、症例に応じて院内で作製するインハウスアライナーと、外部に製作を委託するマウスピース型矯正装置の両方を使用しています。使用する装置、材料、製作方法は症例や治療目的により異なり、院内製作・外部委託のいずれの場合も、治療経過や歯の移動状況に応じて再設計、再製作、追加装置の作製等が必要となる場合があります。
マウスピース矯正では、装置の装着開始時や交換直後に痛み、圧迫感、違和感、発音のしづらさが生じることがあります。装着時間が不足した場合には、計画どおりに歯が移動しない、治療期間が延長する、追加装置が必要になる等の可能性があります。症例によっては、マウスピース矯正単独で十分な改善が難しく、抜歯、固定式装置、補助装置等を併用する場合があります。
歯の移動に伴い、歯根吸収、歯肉退縮、ブラックトライアングル、歯の動揺、咬み合わせの違和感等が生じることがあります。また、治療後は保定装置(リテーナー)の使用が必要であり、使用状況によっては後戻りが生じることがあります。虫歯、歯周病、清掃不良、歯ぎしり・食いしばり等がある場合には、治療計画の変更や治療の中断が必要になることがあります。
装置や材料の特性上、破損、変形、摩耗、着色、適合不良、アタッチメントの脱離、粘膜の擦れ、口内炎等が生じることがあります。院内製作・外部委託を問わず、使用する樹脂、プラスチック、レジンその他の材料により、まれに刺激感、違和感、アレルギー様症状が生じる可能性があります。異常を認めた場合は使用を中止し、速やかにご相談ください。
未承認医療機器等に関する事項
当院で使用するマウスピース型矯正装置の一部は、症例や治療目的に応じて院内で設計・製作する装置(インハウスアライナー)を使用する場合があります。これらの装置の製作過程では、口腔内スキャンデータをもとに設計ソフトウェアを用いた治療計画の作成、3Dプリンタ等による模型製作、樹脂・レジン材料等を使用したマウスピース型装置の成形などを行う場合があります。
これらの設計ソフトウェア、3Dプリンタ、レジン材料、マウスピース成形材料等の一部については、医薬品医療機器等法において医療機器としての国内承認を受けていない、または承認された用途とは異なる使用方法となる場合があります。そのため、使用される装置や材料の一部は、医薬品医療機器等法上の未承認医療機器または適応外使用に該当する可能性があります。
未承認医療機器等を使用した治療については、医薬品副作用被害救済制度の対象外となる場合があります。また、使用する装置や材料、設計方法等は症例ごとに異なるため、治療内容や使用装置の詳細については、治療開始前の説明時にご案内いたします。
当院では、患者様に対して治療内容、使用装置、費用、治療期間、主なリスク等について十分な説明を行い、ご理解とご同意をいただいたうえで治療を行うよう努めています。ご不明な点がある場合には、遠慮なくご相談ください。